Your Filters
produit
Envoyez-moi un e-mail lorsque de nouvelles informations sur les gènes suivants sont disponibles: Fgfr1
Filters
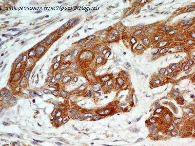
information sur le gène - souris Fgfr1
- synonyme:AW208770; Eask; FGFR-I; FLG; Fgfr-1; Flt-2; Hspy; MFR; bFGF-R-1; c-fgr; fibroblast growth factor receptor 1; basic fibroblast growth factor receptor 1; proto-oncogene c-Fgr
- description:fibroblast growth factor receptor 1
do you know?
- we limit the listing of re-branded antibodies in order to provide our visitors with accurate information and the best experience
- we manually curate antibody information from literature in order to obtain a comprehensive set of well-validated antibodies.
type de produit
- Fgfr1 anticorps
- Fgfr1 gene knockdown
- Fgfr1 cDNA
- Fgfr1 Protéine
- Fgfr1 autres
espèce
linkOut
questions et commentaires
