Your Filters
produit
Envoyez-moi un e-mail lorsque de nouvelles informations sur les gènes suivants sont disponibles: Cd4
Filters
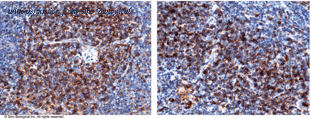
information sur le gène - souris Cd4
- synonyme:L3T4; Ly-4; T-cell surface glycoprotein CD4; T-cell differentiation antigen L3T4; T-cell surface antigen T4/Leu-3; T-cell surface glycoprotein CD4 precursor (T-cell surface antigen T4/Leu-3) (T-cell differentiation antigen L3T4)
- description:CD4 antigen
do you know?
- we limit the listing of re-branded antibodies in order to provide our visitors with accurate information and the best experience
- we manually curate antibody information from literature in order to obtain a comprehensive set of well-validated antibodies.
type de produit
espèce
linkOut
questions et commentaires
