Your Filters
produit
Envoyez-moi un e-mail lorsque de nouvelles informations sur les gènes suivants sont disponibles: alpha-synucléine
Filters
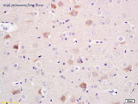
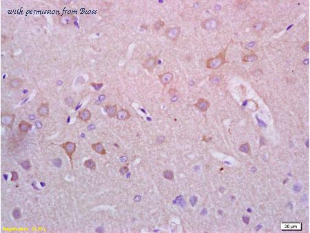
information sur le gène - humain alpha-synucléine
- synonyme:NACP; PARK1; PARK4; PD1; alpha-synuclein; non A-beta component of AD amyloid; synuclein alpha-140; synuclein, alpha (non A4 component of amyloid precursor)
- description:synuclein alpha
do you know?
- we limit the listing of re-branded antibodies in order to provide our visitors with accurate information and the best experience
- we manually curate antibody information from literature in order to obtain a comprehensive set of well-validated antibodies.
type de produit
espèce
linkOut
questions et commentaires
