Your Filters
produit
- PABP1 anticorps
Invitrogenlapin polyclonal
Réactivité: humain, souris, rat, vaches, poisson-zèbre , common platanna
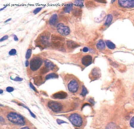
application: Western blot, immunohistochimie, immunohistochemistry - paraffin section - PABP anticorps(10E10)
Invitrogensouris monoclonal (10E10)
Réactivité: humain, poulet, common platanna
application: Western blot, ELISA, immunocytochimie, immunoprécipitation
Envoyez-moi un e-mail lorsque de nouvelles informations sur les gènes suivants sont disponibles: pabpc1-a
information sur le gène - common platanna pabpc1-a
- synonyme:pab1; pabp; pabp1; pabpc1; pabpc2; PABP 1-A; PABP-1-A; PABP-A; cytoplasmic poly(A)-binding protein 1-A; poly(A)-binding protein 1-A; xPABP1-A
- description:poly(A) binding protein, cytoplasmic 1
do you know?
- we limit the listing of re-branded antibodies in order to provide our visitors with accurate information and the best experience
- we manually curate antibody information from literature in order to obtain a comprehensive set of well-validated antibodies.
type de produit
- pabpc1-a anticorps
linkOut
questions et commentaires


